'Actin' Under The Microscope: From Fuelling Cancer To Brain Disorders, A Tiny Protein's Giant Impact
Actin, a structural protein, plays a crucial role in cancer progression and brain diseases, offering new paths for targeted treatment and research.


By Anubha Jain
Published : May 7, 2025 at 9:46 AM IST
Bengaluru: Actin is a tiny but mighty protein found in all our cells. It forms long chains called filaments that act like scaffolding inside the cell. These filaments are especially concentrated under the cell’s outer layer (the plasma membrane), supporting the cell’s shape, helping it move, and allowing it to divide. Actin’s most famous role is helping our muscles contract, but its influence stretches beyond movement.
Actin becomes a crucial player in cancer. It helps tumour cells change shape, move through tissues, and invade new areas in a process called metastasis. Controlled by actin-binding proteins (ABPs), actin is part of the cytoskeleton, a dynamic internal framework that cancer cells hijack to support unchecked growth and invasion. Actin also assists cancer cells in evading the immune system and adapting to harsh environments, helping them spread to distant organs.
As research advances, actin is emerging not just as a structural protein, but as a central hub in cancer biology—and a promising target for future therapies. At the Indian Institute of Science (IISc), researchers are using high-resolution imaging, mathematical modelling, and equations to study actin's role in both healthy and cancerous cells. Physicist Sumantra Sarkar and his team are investigating how actin interacts with the cell membrane and influences the behaviour of signalling proteins, particularly RAS, which is central to many cancer pathways. Their research shows how the physical structure of actin (its “mechanics”) and the chemical reactions it’s involved in (its “biochemistry”) influence each other in powerful ways.
In an exclusive interview with ETV Bharat, Sumantra Sarkar talked in detail about how actin contributes to cancer progression. He said that in cancer cells, a multitude of changes occur that differentiate them from normal cells. Healthy epithelial cells, for instance, are generally stationary and form tight, sheet-like structures. In contrast, cancerous epithelial cells exhibit the capacity for movement. A key enabler of such movement and structural transitions is the actin cytoskeleton, a dynamic framework critical to cellular behaviour and organisation.
One of the long-standing mysteries in cancer biology has been the RAS protein, discovered over 40 years ago. Sarkar further said that despite its known involvement in various cancers, RAS was considered "undruggable" for decades, and numerous drugs developed to target it failed. This impasse has driven researchers to explore new avenues.

At the Los Alamos National Lab, scientist Sumantra Sarkar joined forces with Debanjan Goswami of the National Cancer Institute, who had made a key discovery about how RAS proteins are distributed along the cell membrane. Their collaboration revealed that this distribution could be understood using physical and mathematical models, with actin playing a central role. Previously, researchers at the National Centre for Biological Sciences in Bengaluru proposed that a self-organised structure of actin, called aster, could interact with RAS and other signalling proteins. These proteins were observed to cluster in circular, symmetric structures. This clustering pattern—both inside and outside the core—was striking, yet the exact implications for cancer progression remained unclear.
One breakthrough came when researchers noticed a significant change in protein clustering behaviour. Sarkar emphasised that in non-cancerous (non-oncogenic) cells, around 25 per cent of RAS proteins were found to form clusters. In contrast, in cancerous (oncogenic) cells, this number jumped to 40–45 per cent. This increased clustering appears to prolong activation of signalling mechanisms, keeping the growth machinery of the cell turned on for far longer than in normal conditions, contributing to uncontrolled cancer cell growth.
He said the discovery was supported by mathematical analysis, which showed that while the fundamental interactions between proteins were not altered by mutation, the fraction of RAS proteins interacting with actin and forming clusters had changed. This insight challenges a common belief that cancer-causing mutations of RAS alter molecular interactions directly. Instead, the data suggest the mechanical organisation, not just chemical changes, is key to cancer progression.
As a collaborative project to study this phenomenon, Goswami utilised total internal reflection fluorescence (TIRF) microscopy, allowing visualisation of protein dynamics at the membrane. Fluorescent tagging of actin enabled researchers to capture 30–40 images per second, tracking how protein fluorescence changed over time. Sarkar and his team used partial differential equations to model these changes mathematically.

When asked about how actin interacts with signalling pathways involved in cancer, he said that at the heart of these studies lies the MAPK (Mitogen-Activated Protein Kinase) signalling pathway, of which RAS is a central component. Signalling in cells refers to how cells communicate and respond to their environment. It involves proteins passing messages inside the cell to control actions such as growth, movement, or death. The actin cytoskeleton, especially near the plasma membrane, acts as a scaffold for organising and stabilising signalling protein clusters. This spatial organisation can either enhance or inhibit signalling strength. Such interactions, where one pathway influences another, are known as signalling crosstalk, and when multiple pathways are processed simultaneously, the term signal multiplexing applies, Sarkar added.
He further said that in addition, the research explored how chemical and mechanical signalling interact—a concept known as mechanochemical feedback. Actin is a primary driver of the cell’s mechanical response, generating forces that can influence the chemical states of molecules and their interactions. This intricate feedback loop remains a significant technical and conceptual challenge in the field. "We're working to understand how mechanochemical feedback alters tissue behaviour," Sarkar explained, noting collaborations with groups at IISc.
Also read: Bioprinting Beyond Prostheses And Implants: Can 3D Printing Tech Replace Organs In The Near Future?
Actin’s role as a structural organiser reveals it to be far more than a passive participant. It provides a physical platform that integrates mechanical signals with biochemical cues, orchestrating complex responses essential for cellular function. As Sarkar remarked, “Actin is involved in everything a cell does. There are many hidden roles of actin in cancer that we don’t yet fully understand—but with time, they will be unveiled.” This collaborative research marks a significant step forward in cancer biology.
To probe these mechanisms further, researchers have used actin-disrupting agents such as Latrunculin A, a natural compound that inhibits actin polymerisation, and CK-666, a small-molecule inhibitor targeting the Arp2/3 complex, crucial for actin-driven cell motility. These tools have helped dissect the role that actin plays in facilitating abnormal cellular behaviours in cancer.
Actin’s Role in Brain-Related Disorders
Beyond cancer, actin is vital for many other functions. In the brain, actin helps shape tiny structures called synapses, where signals pass from one neuron to another.
Deepak Nair, Associate Professor at the Centre for Neuroscience at IISc, is studying how actin shapes these synapses and what happens when they are damaged in diseases like Alzheimer’s. His team, along with the group of Vijaylakshmi Ravindranath, found that fixing actin’s organisation in mouse models could slow or even partially reverse Alzheimer’s symptoms.
There are coordinated international efforts by scientists to better understand how neurons communicate and how brain disorders such as epilepsy, as well as age-related diseases like Alzheimer’s and Parkinson’s, develop. Neurons are the fundamental cells of the brain, and when they are damaged or dysfunctional, patients can experience a wide range of cognitive issues, including problems with learning, memory, motor control, and daily functioning.
In an interview with ETV Bharat, researcher Dr Deepak Nair discussed his work, stating, “Neurons connect at specialised sites called synapses, and Alzheimer’s is now believed to start as a dysfunction of the synapse.” Each neuron forms multiple synapses, and the progression of Alzheimer’s disease is closely associated with the buildup of “amyloid plaques,” abnormal clumps of amyloid-beta peptide that accumulate along with other molecules in the brain. These plaques interfere with neuronal function and are thought to contribute to synaptic dysfunction, neuronal death, and the gradual cognitive decline seen in Alzheimer’s patients, particularly memory loss.

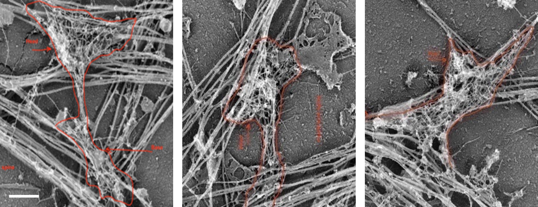
Dr Nair emphasised that one of the key factors in the development of Alzheimer’s appears to be the regulation of actin, a structural protein within cells. Actin can form ring-like structures, known as actin rings, which help stabilise neuronal processes. Depending on where it is located within the neuron, actin also assembles into either long linear filaments or heavily branched (ramified) networks. Scientists are particularly focused on how the organisation of actin filaments, “both linear and branched,” changes within synapses. These changes are critical not only during normal neuronal growth and development but also in the progression of neurodegenerative diseases.
He further explained that actin dynamics—the constant remodelling of actin filaments—are essential for forming connections between neurons and also play a critical role in the function of immune cells and many other cell-to-cell connections. In the brain, dendritic spines—tiny protrusions on neurons where synapses form—are stabilised and shaped by actin structures. These spines come in various forms: mushroom-shaped spines are associated with learning, fork-shaped with forgetfulness, and stubby, shrubby ones are less functionally defined. Actin is responsible for building and reshaping these spine structures, which in turn affect how we think, learn, and remember. Spines that support learning and memory are known to decrease in number in Alzheimer’s disease, pointing to a strong connection between actin dysregulation and cognitive decline.
To better understand these processes, Dr. Nair’s research team is using a combination of advanced microscopy, molecular labelling techniques, and artificial intelligence (AI)–driven machine learning tools. These integrated approaches aim to reveal how disruptions in actin organisation might trigger or accelerate the onset and progression of Alzheimer’s and other neurodegenerative diseases.
From cancer and Alzheimer’s to immune function and even bioengineering, actin plays a critical role in almost every major process inside our cells. Understanding how this protein works—could unlock powerful new treatments for some of the most serious diseases we face today.

