শ্বাসনালীতে আটকে কুলের বীজ, জটিল অস্ত্রোপচারে কিশোরীর প্রাণ বাঁচালো NRS
ওই কিশোরী বীরভূমের বাসিন্দা৷ বয়স 13 বছর৷ অত্যাধুনিক যন্ত্রের সাহায্যে কুলের বীজটি শ্বাসনালী থেকে বের করা হয়৷

Published : February 13, 2026 at 7:50 PM IST
কলকাতা, 13 ফেব্রুয়ারি: কলকাতায় উন্নত চিকিৎসার ক্ষেত্রে ফের সাফল্যের নজির গড়ল নীলরতন সরকার মেডিক্যাল কলেজ ও হাসপাতাল (এনআরএস)। বিরল ও জটিল এক চিকিৎসা প্রক্রিয়ায় 13 বছর বয়সী এক কিশোরীর শ্বাসনালীতে আটকে থাকা বড় আকারের কুলের বীজ সফলভাবে অপসারণ করলেন পালমোনারি মেডিসিন বিভাগের চিকিৎসকরা। বর্তমানে কিশোরীর শারীরিক অবস্থা স্থিতিশীল বলে হাসপাতাল সূত্রে জানানো হয়েছে।
হাসপাতাল সূত্রে জানা গিয়েছে, বীরভূমের বাসিন্দা ওই কিশোরী গত পাঁচ-ছয় দিন ধরে ক্রমশ বাড়তে থাকা শ্বাসকষ্টে ভুগছিল। বৃহস্পতিবার সকালে অক্সিজেন সাপোর্টে তাকে এনআরএস-এর আউটডোর বিভাগে নিয়ে আসা হয়। পরিবারের দাবি, কয়েকদিন আগে ভুলবশত একটি বড় আকারের কুলের বীজ গিলে ফেলে সে। বীজটি খাদ্যনালীতে না-গিয়ে শ্বাসনালীতে ঢুকে পড়ে। প্রথম দিকে বিষয়টি ধরা না-পড়ায় ধীরে ধীরে তার শ্বাসকষ্ট বাড়তে থাকে।

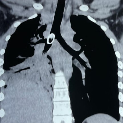
স্থানীয় স্বাস্থ্যকেন্দ্রে প্রাথমিক চিকিৎসা ও এক্স-রে করা হলেও অবস্থার উন্নতি হয়নি। পরে পরিস্থিতি জটিল হওয়ায় তাকে কলকাতায় রেফার করা হয়। এনআরএস-এ ভর্তির পর চিকিৎসকেরা বুকে সিটি স্ক্যান (থোরাক্স) করান। তাতে দেখা যায়, ডান দিকের প্রধান ব্রঙ্কাসের মুখে একটি বড় বস্তু আটকে রয়েছে। ফলে ডান ফুসফুসে বায়ু চলাচল প্রায় সম্পূর্ণ বন্ধ হয়ে গিয়েছিল।
পরিস্থিতির গুরুত্ব বুঝে দ্রুত ফাইবার-অপটিক ব্রঙ্কোস্কোপির সিদ্ধান্ত নেওয়া হয়। পালমোনারি মেডিসিন বিভাগের বিশেষজ্ঞ দল অত্যাধুনিক যন্ত্রের সাহায্যে শ্বাসনালীর ভেতর থেকে প্রায় দুই সেন্টিমিটারেরও বেশি আকারের বীজটি সতর্কতার সঙ্গে বের করে আনেন। চিকিৎসকদের মতে, শিশুদের ক্ষেত্রে এত বড় আকারের বস্তুর ব্রঙ্কিয়াল অ্যাসপিরেশন অত্যন্ত বিরল এবং ঝুঁকিপূর্ণ।
অধ্যাপক ড. জয়দীপ দেব, অধ্যাপক ড. পুলককুমার জানা ও ড. সুকান্ত কোদালির নেতৃত্বে এই জটিল প্রক্রিয়া সম্পন্ন হয়। অধ্যাপক ড. জয়দীপ দেব জানান, অস্ত্রোপচারের পর কিশোরীর শ্বাসনালী সম্পূর্ণ পরিষ্কার হয়েছে এবং তার শ্বাস-প্রশ্বাসে উল্লেখযোগ্য উন্নতি দেখা গিয়েছে।

চিকিৎসকদের সতর্কবার্তা, বীজের মতো জৈব বস্তু শ্বাসনালীতে আটকে গেলে তা দ্রুত ফুলে গিয়ে প্রাণঘাতী পরিস্থিতি তৈরি করতে পারে। তাই এমন উপসর্গ দেখা দিলে দ্রুত বিশেষজ্ঞ চিকিৎসকের পরামর্শ নেওয়া ও প্রয়োজনীয় পরীক্ষা করানো অত্যন্ত জরুরি।
সরকারি হাসপাতালে যখন একের পর চিকিৎসায় গাফিলতি-সহ নানা অভিযোগ ওঠে, সেখানে নীলরতন সরকার মেডিক্যাল কলেজ ও হাসপাতালের চিকিৎসকরা ওই কিশোরীকে সুস্থ করে দেওয়ায় খুশি পরিজনরা৷ তাঁরা চিকিৎসকদের ধন্যবাদ জানিয়েছেন৷

